寺嶋日記
健康
生活
寺島歯科 (その84)
2022年05月12日 作成
2022年05月12日 更新
寺島歯科 (その84)
(
2022年05月12日 木曜日
)
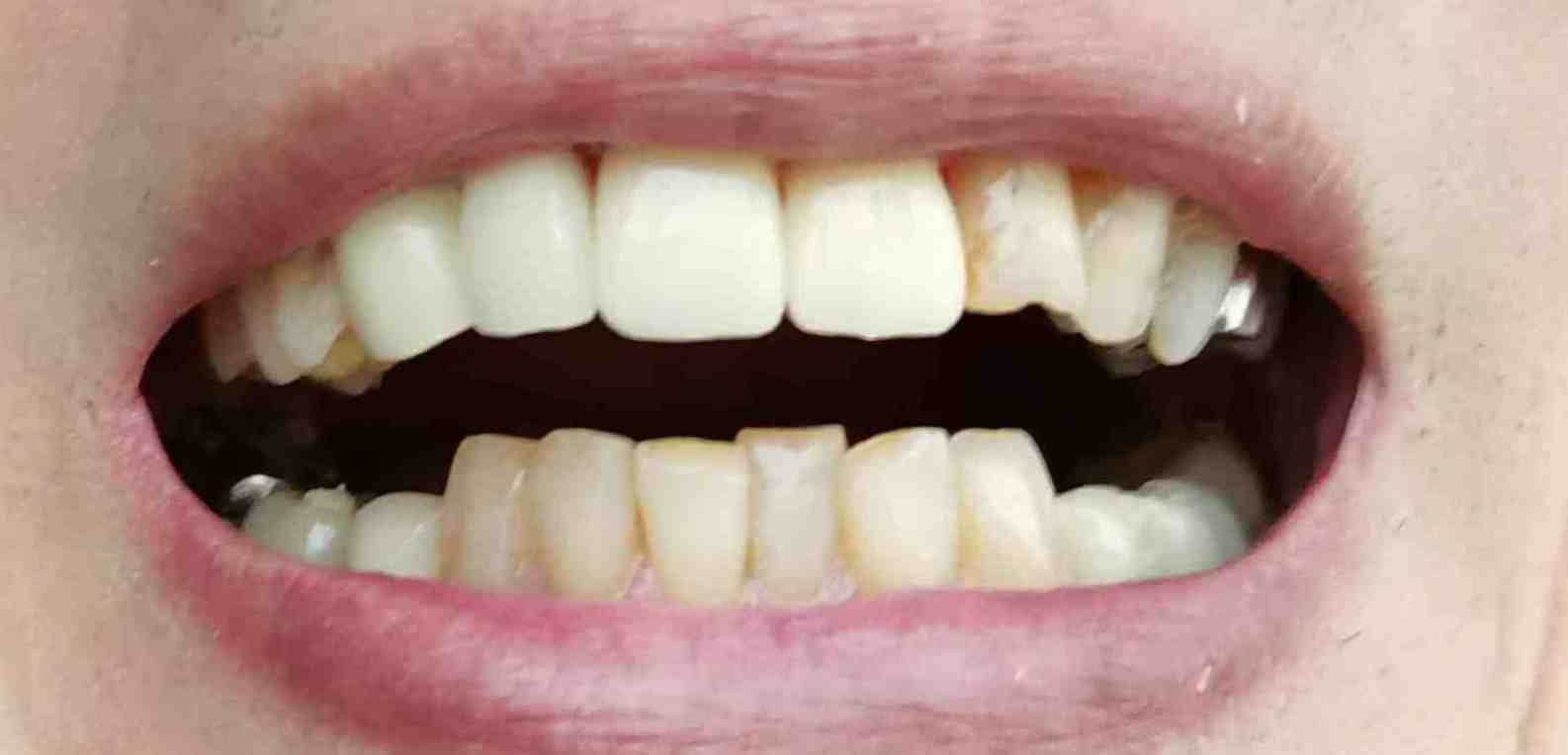
予定通り
前歯
完了。
次回、左2番の予定。 口にはめた金具がメチャ痛かった。
前回 (4月25日)
次回 (5月19日)
口コミ