寺嶋日記
健康
生活
寺島歯科 (その80)
2022年04月11日 作成
2022年04月18日 更新
寺島歯科 (その81)
(
2022年04月11日 月曜日
)
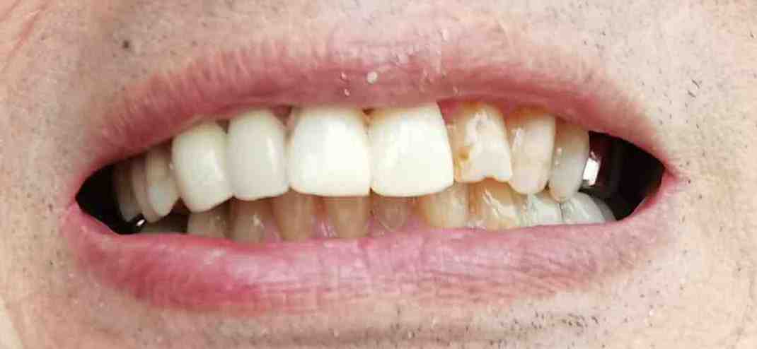
いよいよ前歯に取りかかった。
今日は、仮歯を入れた。 次回、歯を削って虫歯の程度を見るそうだ。
前回 (3月30日)
次回 (4月18日)
口コミ