健康
生活
寺島歯科 (その75)
2022年02月01日 作成
2022年02月03日 更新

寺島歯科 (その75) (2022年02月01日 火曜日)

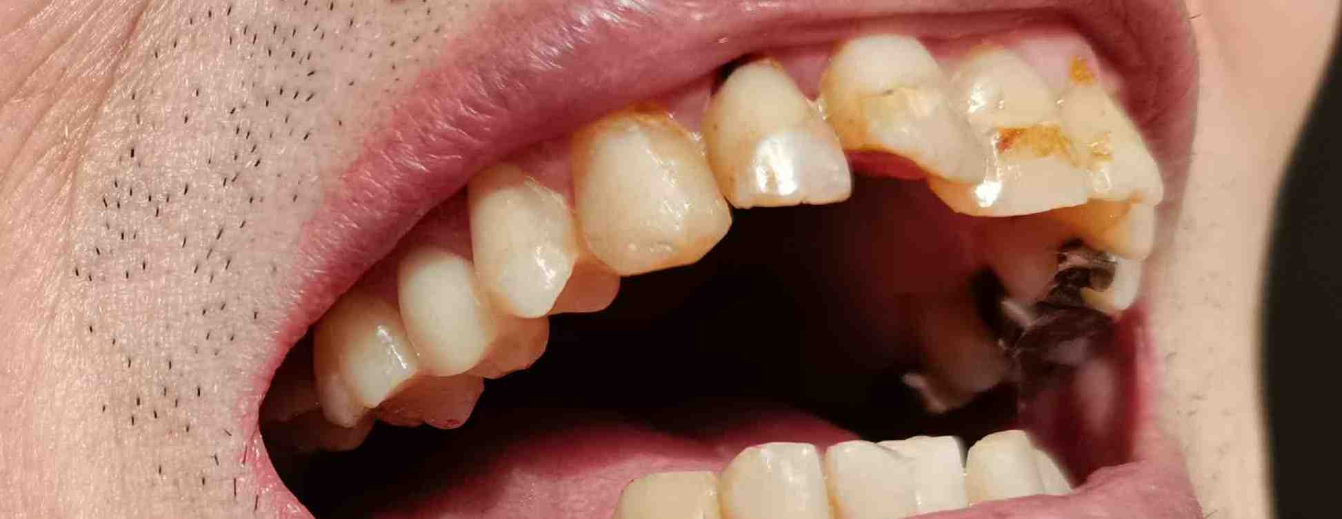
右上犬歯 →
消えた?




いよいよ右前の治療に入った。
強く削っている、とは思ったが、
歯が消えたとは思わなかったのでビックリ。
根本が黒い歯を除去したようだ。 この歯は、神経を抜いたようだ。
次回、被せる。6000円ほどかかる、とのこと。

前回  口コミ